Hoại tử vô khuẩn chỏm xương đùi – Cần phát hiện và điều trị sớm để tránh nguy cơ tàn phế
Hoại tử vô khuẩn chỏm xương đùi thường tiến triển âm thầm gây biến dạng, thoái hóa khớp háng và tăng nguy cơ tàn phế nếu không được phát hiện điều trị kịp thời.
Hoại tử vô khuẩn chỏm xương đùi – xu hướng trẻ hóa và biến chứng
Hoại tử vô khuẩn chỏm xương đùi (hoại tử vô mạch chỏm xương đùi) là bệnh tổn thương hoại tử tế bào xương và tủy xương do thiếu máu nuôi phần trên chỏm xương đùi. Vùng hoại tử lúc đầu tạo ra các vùng thưa xương, các ổ khuyết xương, về sau dẫn đến gãy xương dưới sụn, cuối cùng gây xẹp chỏm xương đùi, thoái hóa thứ phát và mất chức năng của khớp háng, dẫn đến tàn phế.
Nguyên nhân gây hoại tử vô khuẩn chỏm xương đùi rất đa dạng gồm: Nguyên nhân tự phát (chiếm khoảng 50% trường hợp) và nguyên nhân thứ phát (trật khớp háng, gãy cổ xương đùi), bệnh khí ép (thợ lặn, công nhân làm hầm mỏ), bệnh lý tự miễn (viêm khớp dạng thấp, Lupus ban đỏ,...), ghép tạng, bệnh lý tăng đông và bệnh tắc mạch tự phát, đái tháo đường, lạm dụng thuốc có chứa corticoid…
'
Người bệnh bị hoại tử vô khuẩn chỏm xương đùi sau phẫu thuật thay khớp háng tại Bệnh viện Bãi Cháy
Bệnh gặp chủ yếu ở nam giới (chiếm khoảng 80%) và tuổi trung bình 40-50. Nhưng hiện nay bệnh đang có xu hướng trẻ hóa dần đặc biệt ở nhóm nam thanh niên khoảng 30 - 40 tuổi đã có biểu hiện bệnh hoại tử chỏm xương đùi. Nguyên nhân chủ yếu do lạm dụng rượu bia và hút thuốc lá – yếu tố chính có thể gây tổn thương, viêm mạn tính và làm tắc các mao mạch nuôi chỏm xương đùi, dẫn đến các tế bào xương sụn vùng chỏm bị thiếu máu và hoại tử dần.
Bác sĩ CKII Vũ Quang Nghĩa – Trưởng Khoa Chấn thương Chỉnh hình, Bệnh viện Bãi Cháy cho biết: “Hoại tử vô khuẩn chỏm xương đùi không chỉ gây đau đớn kéo dài mà còn ảnh hưởng nghiêm trọng đến khả năng vận động, chất lượng cuộc sống và khả năng lao động. Bệnh khởi phát từ từ, giai đoạn sớm người bệnh có thể không có triệu chứng hoặc xuất hiện đau âm ỉ vùng khớp háng, mông hoặc đùi, đau tăng lên khi đi lại hoặc đứng lâu, giảm khi nghỉ ngơi. Người bệnh thường không có các biểu hiện toàn thân, trừ các triệu chứng của bệnh nền nếu có. Ở giai đoạn tiến triển, biên độ vận động khớp giảm rõ rệt, hạn chế các động tác như xoay – dạng – khép trong khi động tác gấp duỗi thì bình thường, người bệnh khó ngồi xổm hoặc không ngồi được…, hạn chế vận động tất cả các động tác..”
Phẫu thuật thay khớp háng – giải pháp điều trị triệt để cho bệnh nhân hoại tử vô khuẩn chỏm xương đùi tiến triển nặng
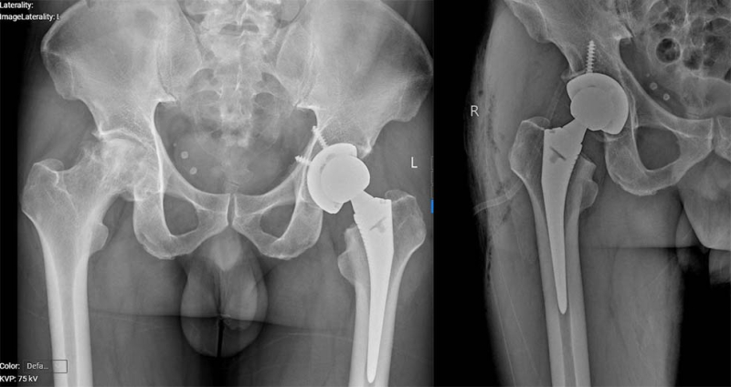
Mới đây, các bác sĩ Khoa Chấn thương Chỉnh hình, Bệnh viện Bãi Cháy đã phẫu thuật thay khớp háng cho bệnh nhân VŨ KIM H (40 tuổi, ở phường Móng Cái, tỉnh Quảng Ninh). Bệnh nhân có tiền sử hoại tử chỏm khớp háng hai bên, đã được phẫu thuật thay khớp háng trái cách đây 1 năm. Gần đây bệnh nhân xuất hiện đau và hạn chế vận động khớp háng phải. Kết quả chụp xquang có hình ảnh đặc xương kèm tiêu xương không đều vùng chỏm xương đùi phải gây biến dạng xương đùi và hẹp không đều khe khớp háng phải. Các bác sĩ đã hội chẩn và đánh giá tình trạng hoại tử vô khuẩn chỏm xương đùi phải tiến triển và không còn khả năng bảo tồn. Người bệnh được chỉ định phẫu thuật thay toàn bộ khớp háng háng phải.

Phẫu thuật thay khớp háng cho người bệnh bị hoại tử vô khuẩn chỏm xương đùi tại Bệnh viện Bãi Cháy

Hình ảnh khớp phải trước và sau phẫu thuật
Ca phẫu thuật do BSCKII Vũ Quang Nghĩa – Trưởng Khoa Chấn thương chỉnh hình Bệnh viện Bãi Cháy thực hiện đã thành cắt bỏ tổn thương hoại tử, thay khớp háng bằng vật liệu nhân tạo phù hợp. Sau phẫu thuật 3 ngày, bệnh nhân phục hồi vận động tốt, có thể tập đi lại cùng dụng cụ tập.
Tại Bệnh viện Bãi Cháy, người bệnh mắc bệnh lý hoại tử vô khuẩn chỏm xương đùi sẽ được tư vấn các giải pháp điều trị dựa trên giai đoạn của bệnh, yếu tố tuổi và nguy cơ đi kèm. Với mục tiêu điều trị dự phòng và hạn chế tối đa tiến triển nặng lên, ở giai đoạn sớm, người bệnh có thể được điều trị nội khoa bằng thuốc kháng viêm, giảm đau, vật lý trị liệu. Ở giai đoạn tiến triển, các phẫu thuật bảo tồn khớp háng bao gồm can thiệp làm giảm áp lực lên chỏm xương đùi, khoan giảm áp trong lòng chỏm xương đùi, phẫu thuật lấy xương hoại tử và ghép xương không có mạch nuôi hoặc có mạch nuôi, phẫu thuật cắt xương chỉnh trục vùng mấu chuyển xương đùi…. Khi tổn thương vỡ sập chỏm xương đùi có hoặc không có tổn thương của ổ cối, thoái hóa khớp háng nặng không đáp ứng điều trị khác thì thay khớp háng toàn phần/bán phần là giải pháp điều trị triệt để và hiệu quả nhất giúp người bệnh giảm đau và khôi phục chức năng vận động.



Người bệnh mắc bệnh lý hoại tử vô khuẩn chỏm xương đùi sau thay khớp háng tại Bệnh viện Bãi Cháy tập đi lại cùng dụng cụ tập sau 3 ngày phẫu thuật
Khoa Chấn thương chỉnh hình, Bệnh viện Bãi Cháy hàng năm khám thực hiện phẫu thuật thay khớp háng nhân tạo cho hơn 200 bệnh nhân. Trong đó tỷ lệ người cao tuổi (trên 60 tuổi) chiếm trên 60 % tổng số ca phẫu thuật. Phẫu thuật thay khớp háng tiên tiến đã được các bác sĩ làm chủ và thực hiện thường quy với tỷ lệ thành công cao giúp phục hồi chức năng vận động, cải thiện chất lượng cuộc sống cho hằng trăm bệnh nhân mắc các bệnh lý thoái hóa khớp háng, hoại tử vô khuẩn chỏm xương đùi, gãy cổ xương đùi …mỗi năm.
Hoại tử vô khuẩn chỏm xương đùi không chỉ gây đau đớn kéo dài mà còn ảnh hưởng nghiêm trọng đến khả năng vận động, chất lượng cuộc sống, năng suất lao động và tăng nguy cơ tàn phế nếu không được phát hiện, điều trị kịp thời. Nhận biết sớm và can thiệp đúng thời điểm, phương pháp sẽ giúp người bệnh phục hồi vận động, duy trì khả năng sinh hoạt – lao động bình thường, ngăn ngừa biến chứng. Các bác sĩ Bệnh viện Bãi Cháy khuyến cáo:
Người bệnh cần lưu ý đi khám tại cơ sở y tế chuyên khoa khi xuất hiện các dấu hiệu đau âm ỉ vùng háng, đùi hoặc mông, đau tăng khi đi lại, đứng lâu và giảm khi nghỉ ngơi...
Hạn chế tối đa rượu bia, bỏ thuốc lá, chế độ ăn nhiều rau xanh, trái cây, hạn chế dầu mỡ.
Kiểm soát tốt các bệnh nội khoa như kiểm soát huyết áp, đường huyết, lipid máu...
Chú ý không lạm dụng thuốc có chứa corticoid. Sử dụng thuốc theo sự hướng dẫn của bác sĩ.
Mạc Thảo, Minh Khương
